Case Details
A 25 –year-old woman presents, with a history that includes-
a) Hepatosplenomegaly with eventual removal of the spleen
b) Bone and joint pains with several fractures of the femur.
c) A liver biopsy that shows wrinkled-looking cells with an accumulation of Glucosyl ceramide,
What would be the likely diagnosis for this patient?
Case discussion
The patient is suffering from Gaucher disease. It is an inherited disorder of Cerebroside metabolism.
Basic concept
Cerebrosides occur in large amounts in the white matter of the brain and in the myelin sheath of nerves. Structurally, Cerebrosides contain a carbohydrate, which is generally galactose or sometimes glucose, a high molecular weight fatty acid, alcohol, which is sphingosine, or Dihydro sphingosine (See the structure below- figure 1). There is no glycerol, no phosphoric acid, and no nitrogenous base. The type of fatty acid present in them differentiates individual cerebrosides.

Figure 1 shows the structure of Glucocerebroside(Glucosyl Ceramide). Sphingosine+ Fatty acid(oleic acid in the given structure) is Ceramide. Ceramide can be further attached to either Glucose or Galactose.
Gaucher disease
This disease is a multisystem lipidosis characterized by hematological changes, organomegaly, and skeletal involvement; the latter is usually manifested in the form of bone pains and multiple fractures. It is the most common genetic disorder among Ashkenazi Jews. It is the most common Lysosomal storage disease.
Inheritance
It is Autosomal recessive in nature.
Biochemical defect
Gaucher’s disease results from deficient activity of Lysosomal Hydrolase, β, and glucocerebrosidase. The enzyme defect results in the accumulation of undegraded glycolipids in the form of Glucosyl ceramide in the cells of the reticuloendothelial system (Figure 2). This progressive accumulation results in infiltration of bone marrow, hepatosplenomegaly, and skeletal complications.

Figure 2- showing the formation of Gaucher cell
Clinical features
There are three clinical subtypes depending upon the presence of, absence of, or progression of neurological complications-
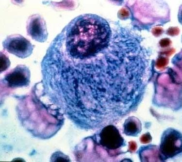
1)Type-1- It accounts for 99 % of cases. The age of onset is variable, from early childhood to late adulthood. The patients present with easy bruising due to thrombocytopenia, chronic fatigue due to anemia, and hepatomegaly with or without impaired liver functions. Progressive enlargement of the spleen is there, which can become massive. Clinical bone involvement is apparent, which is manifested in the form of bone pains or pathological fractures. The hallmark of Gaucher’s disease is Gaucher cells (figure-3) in the reticuloendothelial system, particularly in the bone marrow. These cells have a typical appearance, they are 20-100μm in diameter, wrinkled looking due to the presence of intracytoplasmic inclusion bodies. The presence of these cells is highly diagnostic of Gaucher’s disease.

Figure-3- showing Gaucher cell
2) Type 2– is less common, it is characterized by neurodegeneration, extreme visceral involvement, and death within 2 years of life. The death is due to respiratory compromise.
3) Type 3- is intermediate in the presentation to types 1 and 2. Neurological involvement is there but occurs later in life with decreased severity as compared to Type 2.
Laboratory Diagnosis
The following studies are indicated in Gaucher disease:
- Enzyme activity testing: Diagnosis can be confirmed by measuring Glucocerebrosidase activity in peripheral blood leukocytes. A finding of less than 15% of mean normal activity is diagnostic.
- Genotype testing: Molecular diagnosis can be helpful, especially in Ashkenazi patients whose 6 GBA mutations account for most disease alleles.
- CBC count: Obtain CBC count and differential to assess the degree of cytopenia.
- Liver function enzyme testing: Minor elevations of liver enzyme levels are common, even in patients who are mildly affected with Gaucher disease; however, the presence of jaundice or impaired hepatocellular synthetic function merits a full hepatic evaluation.
Imaging Studies
- Ultrasonography: Ultrasonography of the abdomen can reveal the extent of organomegaly.
- MRI
- MRI is more accurate than ultrasonography in determining organ size.
- Hip MRI may be useful in revealing early avascular necrosis.
- MRI may be useful in delineating the degree of marrow infiltration and evaluating spinal involvement.
- Radiography
- Skeletal radiography can detect and evaluate Gaucher disease’s skeletal manifestations.
- Perform chest radiography to evaluate pulmonary manifestations.
- Bone marrow examination for the presence of Gaucher’s cells is diagnostic.
- Liver biopsy – A liver biopsy is occasionally performed to assess unexplained hepatomegaly.
Treatment
1) Enzyme replacement therapy(ERT) by recombinant β- Glucocerebrosidase is currently done. This preparation is highly effective in reversing the visceral and hematologic manifestations of Gaucher disease. However, the skeletal disease is slow to respond, and pulmonary involvement is relatively resistant to the enzyme.
2) Surgical Care
Partial and total Splenectomy was once advocated in the treatment of patients with Gaucher disease. However, with the availability of ERT, this procedure is no longer necessary in most patients.
3) Bone marrow transplant is also helpful.
4) Gene replacement is the permanent cure.
Prognosis
- Many individuals with Gaucher disease have few manifestations and a normal life expectancy without any intervention.
- The prognosis for symptomatic patients with type 1 or type 3 Gaucher disease who receive treatment is very good, with a decrease in organomegaly and an eventual rise in hemoglobin levels and platelet counts.
- The skeletal disease is slow to respond to ERT and widely varies.
- Some patients describe symptomatic improvement within the first year of treatment, although a much longer period of ERT is required to achieve a radiologic response.




