Case details
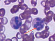
The peripheral blood film (figure) of a strict vegetarian suffering from generalized weakness, easy fatigue, sore tongue, and foot drop has been displayed.
What might be the diagnosis?

Case details
Most probably, the patient is suffering from megaloblastic anemia due to cobalamine deficiency. The cause for this anemia is a strict vegetarian dietary pattern and lack of cobalamin supplementation. Cobalamin deficiency can occur from a lack of intake (such as with complete vegetarians), absence of intrinsic factor (either inherited or from removal/damage to gastric mucosa), intestinal organisms, or ileal abnormalities (tropical sprue). Patients present with anemic symptoms such as fatigue, weakness, palpitations, vertigo, and tachycardia. GI symptoms include a sore, beefy-red tongue, weight loss, and diarrhea. Both folate and cobalamin deficiencies have similar anemic and GI symptoms. However, cobalamin deficiency can also present with numerous neurologic manifestations, including numbness, paresthesias, weakness, ataxia, abnormal reflexes, and diminished vibratory sensation. Treatment consists of identifying/treating the underlying cause of deficiency and replacement of cobalamin or folate.



