A 25 –year-old women presented, with a history that includes:
a) Hepatosplenomegaly with eventual removal of spleen
b) Bone and joint pains with several fractures of the femur.
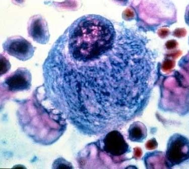
c) A liver biopsy that shows wrinkled looking cells with accumulation of Glucosyl ceramide.
What is the most likely diagnosis?




